أهمية العلاج التجميلي
| الأسنان الجميلة تعطي الشخص ابتسامة مشرقة وتمنحه الثقة بنفسه وقد يتعرض الشخص لبعض الأمور التي تفسد هذه الابتسامة مثل الرضوض وكسور الأسنان، التسوس، إصابة بالأمراض الشديدة أثناء تطور ونمو أسنانهم في الطفولة نتيجة لتناول الأم لبعض الأدوية أثناء فترة الحمل مثل المضاد الحيوي TETRACYCLINE. |
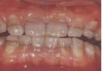
تصبغ الأسنان بسبب tetracycline |
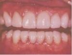
| إن طب الأسنان التجميلي يكتسب أهمية خاصة في إعادة الشكل واللون للأسنان المصابة وما لذلك من أثر كبير ينعكس على شخصية الطفل وإنهاء عقدة الخجل التي قد تسببها الأسنان المكسورة أو المشوهة. | بعد العلاج التجميلي |
الحشوات التجميلية
تصنع هذه الحشوات من مواد شديدة الاحتمال وطويلة الأمد ، وتكون متطابقة إلى حد كبير مع اللون الطبيعي للسن وتتوفر هذه الحشوات بألوان مختلفة.
وهناك نوعين من هذه الحشوات:
- الكومبــوزت
- الإينومير الزجاجي
![]() |
![]() |
| قبل | بعد |
وتستخدم هذه الحشوات في علاج الأسنان المتغيرة اللون بحيث توضع على شكل قشرة تغطي سطح السن المتلون وتعيد له اللون الطبيعي
تمتاز هذه الحشوات بما يلي:
- تعطي لون مطابق للون السن الطبيعي لدرجة أنه لا يمكن تمييزها عن السن الطبيعي.
- أقل تكلفة من تيجان الخزف.
- لا تحتاج إلى تحضير كبير في سطح السن.
يؤخذ على هذه الحشوات أنها:
- تحتاج إلى تحضير في الطبقة الخارجية من السن (الميناء).
- ليس لها نفس قوة الميناء الطبيعي للسن ومن الممكن أن تتعرض للانكسار نتيجة أسباب مختلفة كقضم الأظافر، الطعام الصلب، الحوادث الرياضية.
- قد تتعرض للتلون عند تناول كمية زائدة من الأغذية والمشروبات التي تحتوي على مواد ملونه مثل: الكولا، القهوة، الشاي.
وللمحافظة على هذه الحشوات فإنه يجب علينا المحافظة على الصحة الفموية الجيدة من خلال استخدام الفرشاة والخيط السني والزيارات الدورية المنتظمة لطبيب الأسنان ، لأنه من خلال هذه الزيارات يمكن أن يكتشف الطبيب أي تغيرات في لون الحشوة أو التسرب الحفافي أو التآكل الذي قد يصيب الحشوة.





